오늘은 건강에 관련된 글을 작성해보려고 해요. 여러분들께서는 결핵에 대해 얼마나 알고 계신가요? 결핵은 매우 중요한 질병인데, 증상을 빠르게 알고 대처하는 것이 매우 중요하답니다. 그래서 오늘은 결핵의 주요 증상에 대해 알려드리려고 해요. 함께 알아보시죠!



목차
결핵 증상 : 증상을 알고 빠른 대처를!
결핵이란 무엇인가?
결핵은 결핵균에 의해 발생하는 전염성 질환으로, 주로 폐에 영향을 미치지만 다른 부위에도 발생할 수 있습니다.



결핵의 초기 증상 이해하기
결핵의 초기 증상은 다양하지만 주로 기침, 가슴 통증, 체중 감소 등이 나타납니다. 이러한 초기 증상을 빠르게 인지하는 것이 중요합니다.
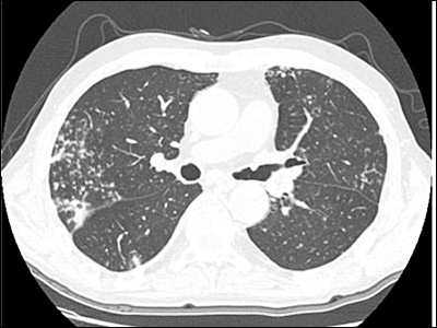
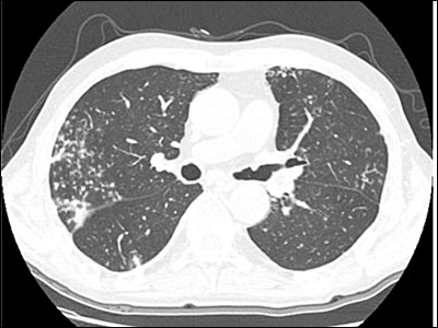
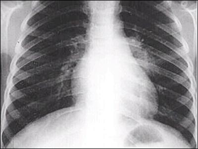
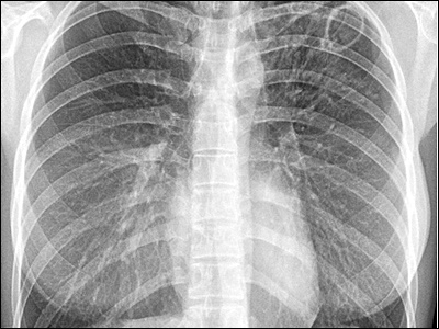
결핵 진단을 위한 필수 사항들
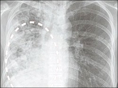
결핵 진단을 위해서는 피부 검사, 가슴 X-선, 결핵균 검사 등의 검사가 필요합니다. 이러한 검사를 통해 정확한 진단을 받을 수 있습니다.



결핵의 주요 증상들 상세 분석
결핵은 폐결핵, 림프절 결핵, 뼈 결핵 등 다양한 형태로 나타날 수 있습니다. 각각의 증상을 상세히 분석하여 이해할 수 있습니다.
결핵의 전염성과 예방 방법
결핵은 공기 중에서 전파될 수 있으며, 옷이나 생활 용품을 통해서도 전염될 수 있습니다. 따라서 예방을 위해서는 호흡기 보호 및 개인 위생에 신경써야 합니다.



결핵 발병 시 취해야 할 긴급 조치
결핵이 발병했을 때는 즉시 의료기관을 방문해야 합니다. 다른 사람들과의 접촉을 피하고 호흡기 보호를 위한 마스크를 착용해야 합니다.
결핵 치료의 기본 원칙과 절차
결핵 치료는 항결핵 약물을 복용하여 진행됩니다. 정확한 복용법과 지속적인 치료가 필요하며, 치료 과정에서의 부작용에 대해서도 알아야 합니다.



생활 속에서 결핵 감염을 피하는 방법
결핵 감염을 피하기 위해서는 청결한 환경 유지, 건강한 식습관 유지 등이 중요합니다. 또한 결핵 예방접종도 고려해 볼 수 있습니다.
결핵 회복 과정과 재활 정보
결핵 회복 과정은 개인의 상태에 따라 다르지만, 일반적으로 약 6개월에서 1년 정도의 시간이 소요됩니다. 회복을 위해서는 적절한 휴식과 영양섭취가 필요합니다.



결핵 관련 자주 묻는 질문들 해소
결핵에 대해 자주 묻는 질문들을 모아봤습니다. 이러한 질문들에 대한 답변을 통해 더 많은 정보를 얻을 수 있습니다.
이상으로 결핵 증상에 대한 정보를 알아보았습니다. 결핵은 조기 발견과 적절한 대처가 중요하므로, 증상을 잘 파악하고 예방에 신경쓰는 것이 필요합니다. 건강한 생활을 위해 결핵에 대한 지식을 확장해보세요!