오늘은 담낭염에 대해서 알아보려고 해요. 담낭염은 많은 사람들이 겪는 질병 중 하나인데요. 이번에는 담낭염의 증상, 진단과 치료에 대한 지침을 알려드릴게요. 담낭염이 의심되는 분들께 도움이 되리라 생각합니다.



목차
담낭염의 증상: 진단과 치료에 대한 지침
담낭염이란 무엇인가?
담낭염은 담낭에 염증이 생기는 질환으로, 주로 담석이나 감염으로 인해 발생합니다. 담낭은 간에서 생성된 담즙을 저장하고 배출하는 역할을 하며, 염증이 발생하면 담낭의 기능이 저하되고 통증과 불편감을 유발할 수 있습니다. 담낭염은 급성 담낭염과 만성 담낭염으로 나뉘며, 증상과 치료 방법은 이에 따라 다를 수 있습니다.



담낭염의 주요 원인 파악
담낭염의 가장 흔한 원인은 담석입니다. 담석은 담낭 내에 형성되는 작은 결정체로, 콜레스테롤 또는 비콜레스테롤성 성분으로 구성됩니다. 이러한 담석이 담낭의 출구를 막거나 염증을 일으킬 수 있습니다. 또한 감염도 담낭염의 원인 중 하나입니다. 세균이나 기타 병원체가 담낭에 침입하여 감염을 일으키면 염증이 발생할 수 있습니다. 기타 원인으로는 담낭의 기능 이상, 호르몬 변화, 유전적 요인 등이 있을 수 있습니다.
초기 증상과 징후 인식하기
담낭염의 초기 증상은 다양하며, 각 개인에 따라 다를 수 있습니다. 하지만 일반적으로 흔한 증상은 복부 통증입니다. 이 통증은 우상복부나 가슴 아래 부분에서 시작하여 등으로 확산될 수 있으며, 심하고 급격할 수도 있습니다. 또한 복부 팽만감, 구역질, 메스꺼움, 소화불량 등의 증상도 나타날 수 있습니다. 만약 이러한 증상이 지속되거나 심해진다면 의사에게 상담하는 것이 좋습니다.



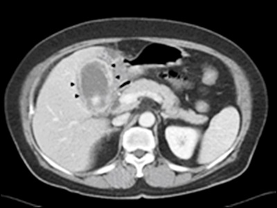
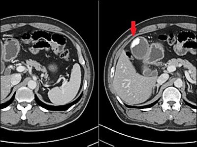
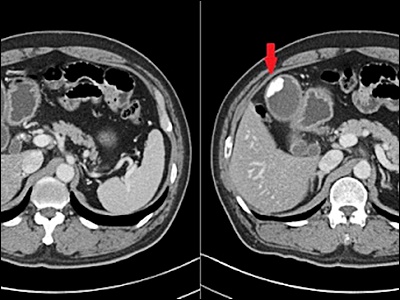
담낭염 진단을 위한 검사 과정
의사는 담낭염을 진단하기 위해 다양한 검사를 시행할 수 있습니다. 가장 일반적인 검사는 혈액 검사와 초음파 검사입니다. 혈액 검사를 통해 염증 마커나 감염 여부를 확인할 수 있으며, 초음파 검사를 통해 담낭의 상태와 담석의 유무를 확인할 수 있습니다. 추가적으로 담도 조영술, CT 스캔, MRI 등의 검사도 시행될 수 있습니다.
일반적인 담낭염 치료 방법
담낭염의 치료 방법은 그 원인과 증상에 따라 다양합니다. 만약 담석이 원인이라면, 약물 치료나 수술적 접근이 고려됩니다. 감염에 의한 담낭염인 경우에는 항생제를 투여하여 감염을 제거하고 염증을 감소시킬 수 있습니다. 또한 통증 완화를 위해 진통제나 항염증 약물을 사용할 수도 있습니다.



약물 치료와 그 효과
약물 치료는 담낭염의 증상을 완화하고 염증을 감소시키는 주요한 방법 중 하나입니다. 항생제는 감염에 의한 담낭염에서 사용되며, 적절한 약물과 적절한 기간 동안 복용하는 것이 중요합니다. 또한 통증 완화를 위해 진통제나 항염증 약물도 사용될 수 있습니다. 이러한 약물 치료는 증상의 완화와 회복을 도울 수 있습니다.
수술적 접근: 필요한 경우와 절차
만약 약물 치료로 증상이 완화되지 않거나 심각한 담낭염인 경우, 수술적 접근이 필요할 수 있습니다. 담석 제거를 위해 경피적 담낭절제술이나 전통적인 개복 담낭절제술 등의 절차가 사용됩니다. 이러한 수술은 전문 의료진에 의해 시행되며, 일반적으로 안전하고 효과적인 방법으로 간주됩니다.



영양 관리와 식단 조절의 중요성
담낭염 환자는 영양 관리와 식단 조절에 특별한 주의를 기울여야 합니다. 콜레스테롤을 줄이고 소화를 돕기 위해 저지방 식단이 권장됩니다. 고지방, 고콜레스테롤 음식은 피하고, 과일, 채소, 곡류 등의 식품을 중심으로 한 식단을 유지하는 것이 좋습니다. 또한 충분한 수분 섭취와 규칙적인 식사도 중요합니다.
일상 생활에서의 관리와 예방 전략
담낭염 환자는 일상 생활에서도 관리와 예방 전략을 따라야 합니다.
첫째로, 피로와 스트레스를 최소화하고 충분한 휴식을 취하는 것이 중요합니다. 둘째로, 체중을 관리하고 비만을 피하는 것이 담낭 건강에 도움이 됩니다. 마지막으로, 담석의 예방을 위해 적절한 수분 섭취와 규칙적인 운동이 필요합니다.



담낭염의 장기 관리와 회복 과정
담낭염은 장기적인 관리와 회복이 필요한 질환이며, 환자는 주기적으로 의사를 방문하여 상태를 모니터링해야 합니다. 의사의 지시에 따라 약물을 복용하고 식단과 생활 습관을 조절하는 것이 중요합니다. 또한, 필요한 경우 예방적인 담낭절제술을 고려할 수도 있습니다. 장기적으로는 건강한 식습관과 생활 습관을 유지하며, 담낭 건강을 지키는 것이 핵심입니다.
이렇게 담낭염의 증상, 진단과 치료에 대한 지침을 알아보았습니다. 담낭염은 조기에 인식하고 적절한 치료를 받는 것이 중요합니다. 만약 담낭염의 증상이 나타난다면 의사와 상담하여 적절한 조치를 취하는 것이 좋습니다. 건강한 담낭을 유지하기 위해 규칙적인 검진과 식습관 관리를 실천해야 합니다.